Pie Plano Infantil y Adulto

El pie plano es una afección caracterizada por la disminución o ausencia del arco plantar, lo que puede generar dolor, inestabilidad y alteraciones en la marcha. El tratamiento quirúrgico con cirugía mínimamente invasiva (CMI) es una opción cuando el tratamiento conservador no es efectivo.

Infantil: Normal en los primeros años de vida, pero si persiste después de los 6-8 años y genera síntomas, puede requerir tratamiento.
Adulto: Puede deberse a alteraciones en el tendón tibial posterior, artritis o hiperlaxitud ligamentosa.

Sintomatología Clínica

  • Dolor en la parte interna del pie y tobillo.
  • Fatiga al caminar o estar de pie mucho tiempo.
  • Inestabilidad y dificultad para usar ciertos tipos de calzado.
  • En casos severos, desviación del talón hacia afuera (valgismo del retropié).

Tratamiento Quirúrgico con Cirugía Mínimamente Invasiva (CMI)

Se recomienda cuando el dolor es persistente y hay una deformidad progresiva.

Técnicas Quirúrgicas de Mínima Incisión

Cirugía para Pie Plano Infantil - Técnica de Artrorrisis

Consiste en la colocación de un implante o tornillo de soporte en el seno del tarso para corregir el colapso del arco.
Se realiza a través de una pequeña incisión de 5 mm.
Se preservan estructuras anatómicas sin dañar tendones ni ligamentos.
El implante puede ser temporal o permanente.

Ventajas

  • Procedimiento rápido (30-40 minutos).
  • Recuperación rápida, con apoyo inmediato en la mayoría de los casos.
  • Mínimo dolor postoperatorio.
  • Se retira el implante si el crecimiento del niño lo requiere.

Tratamiento Quirúrgico con Cirugía Mínimamente Invasiva (CMI)

Técnicas Quirúrgicas de Mínima Incisión

Cirugía para Pie Plano del Adulto - Técnicas Combinadas

El pie plano en adultos suele ser más complejo, por lo que se pueden combinar varias técnicas mínimamente invasivas:
Osteotomía de Calcáneo Percutánea: Se desliza o corrige la posición del talón mediante una incisión de 1 cm.
Fijación de tornillos: de titanio bioabsorbibles.
Técnica de Artrorrisis (en casos leves): Igual que en el pie infantil, pero en adultos la corrección puede necesitar refuerzo adicional.
Alargamiento del Tendón de Aquiles o Gastrocnemio: Si hay retracción del tendón, se realiza una pequeña incisión para alargarlo y mejorar la movilidad.

Ventajas en Adultos

  • Menor tiempo de recuperación en comparación con cirugía abierta.
  • Reducción del dolor y rápida reincorporación a actividades diarias.
  • Menor riesgo de complicaciones.

Postoperatorio y Recuperación

Pie infantil: Uso de calzado especial y rehabilitación ligera. Vuelta a actividades en 4-6 semanas.
Pie adulto: Apoyo progresivo en 4-6 semanas, fisioterapia y fortalecimiento muscular.

En ambos casos, la cirugía mínimamente invasiva permite una recuperación más rápida, con menor dolor y cicatrices mínimas, siendo una excelente alternativa a la cirugía tradicional.

Dr. Rubén Lorca Gutiérrez

Especialista en Cirugía del Pie de Mínima Incisión

Pie plano infantil

¿Es normal que los niños tengan pie plano?

Sí, es común que los niños pequeños tengan los pies planos, ya que el arco del pie aún no está completamente desarrollado. En la mayoría de los casos, el arco comienza a formarse naturalmente entre los 5 y 7 años.

¿Cuándo se debe tratar el pie plano infantil?

El tratamiento es necesario si el niño presenta dolor, fatiga al caminar, torpeza al correr o si la condición interfiere con sus actividades diarias.

¿Qué tratamientos existen para el pie plano infantil?

• Ejercicios y fisioterapia: Para fortalecer los músculos del pie y mejorar la postura.
• Uso de plantillas personalizadaspara mejorar la biomecánica del pie.
• Calzado adecuado: Es importante que los niños usen zapatos con buen soporte.
El tratamiento Quirúrgico si hay una deformidad severa o dolor persistente que no mejora con otros tratamientos.

¿Las plantillas corrigen el pie plano?

Las plantillas mejoran la alineación del pie y reducir molestias.

¿El pie plano infantil siempre requiere cirugía?

No, solo se recomienda en casos severos donde hay molestias persistentes y una alteración funcional significativa.

¿Qué ejercicios pueden ayudar a fortalecer el arco del pie?

• Caminar de puntillas.
• Recoger objetos con los dedos de los pies.
• Caminar descalzo en superficies irregulares como arena.
• Estiramientos del tendón de Aquiles.

¿Puede el pie plano afectar otras partes del cuerpo?

Sí, en algunos casos puede generar molestias en las rodillas, caderas o espalda debido a una mala alineación postural.

¿Cuándo consultar a un especialista?

Se recomienda acudir a un Pediatra o un Podólogo si el niño tiene:
• Dolor persistente en los pies, tobillos o piernas.
• Dificultad para caminar o correr.
• Desgaste anormal del calzado.
• Un pie plano rígido que no cambia al ponerse de puntillas.


Pie Plano Adulto

¿El pie plano en adultos tiene cura?

No se puede “curar” completamente en la mayoría de los casos, pero sí se pueden aliviar los síntomas y mejorar la función del pie.

¿Cuáles son los síntomas más comunes del pie plano en adultos?

Dolor en el arco del pie, fatiga en los pies al caminar o estar de pie, inflamación en el tobillo y dificultad para usar ciertos tipos de calzado.

¿Qué tratamientos existen para el pie plano en adultos?

Depende de la gravedad del caso e incluye:
• Uso de plantillas ortopédicas.
• Ejercicios de fortalecimiento y estiramiento.
• Calzado adecuado con buen soporte.
• Terapia física.
• Medicación para aliviar el dolor en casos de inflamación.
• Cirugía (en casos severos o cuando los tratamientos conservadores no funcionan).

¿Las plantillas personalizadas realmente ayudan?

Sí, pueden mejorar la alineación del pie, reducir el dolor y prevenir el desgaste excesivo en otras articulaciones. Sin embargo, no corrigen el pie plano, solo alivian los síntomas.

¿Qué ejercicios pueden ayudar a mejorar el pie plano?

Algunos ejercicios recomendados son:
• Levantamiento de dedos y arco plantar.
• Caminar de puntillas.
• Recoger objetos con los dedos del pie.
• Estiramientos de pantorrilla y fascia plantar.

¿Es necesario usar un calzado especial?

Se recomienda un calzado con suela firme y amortiguación adecuada para evitar molestias.

¿En qué casos se recomienda la cirugía?

Cuando el dolor es severo y persistente, no puede realizar una actividad diaria normal, o si los tratamientos conservadores no han sido efectivos.

¿El pie plano afecta otras partes del cuerpo?

Sí, puede generar problemas en tobillos, rodillas, caderas y espalda debido a la mala distribución del peso y el impacto al caminar.


Cirugía de helomas

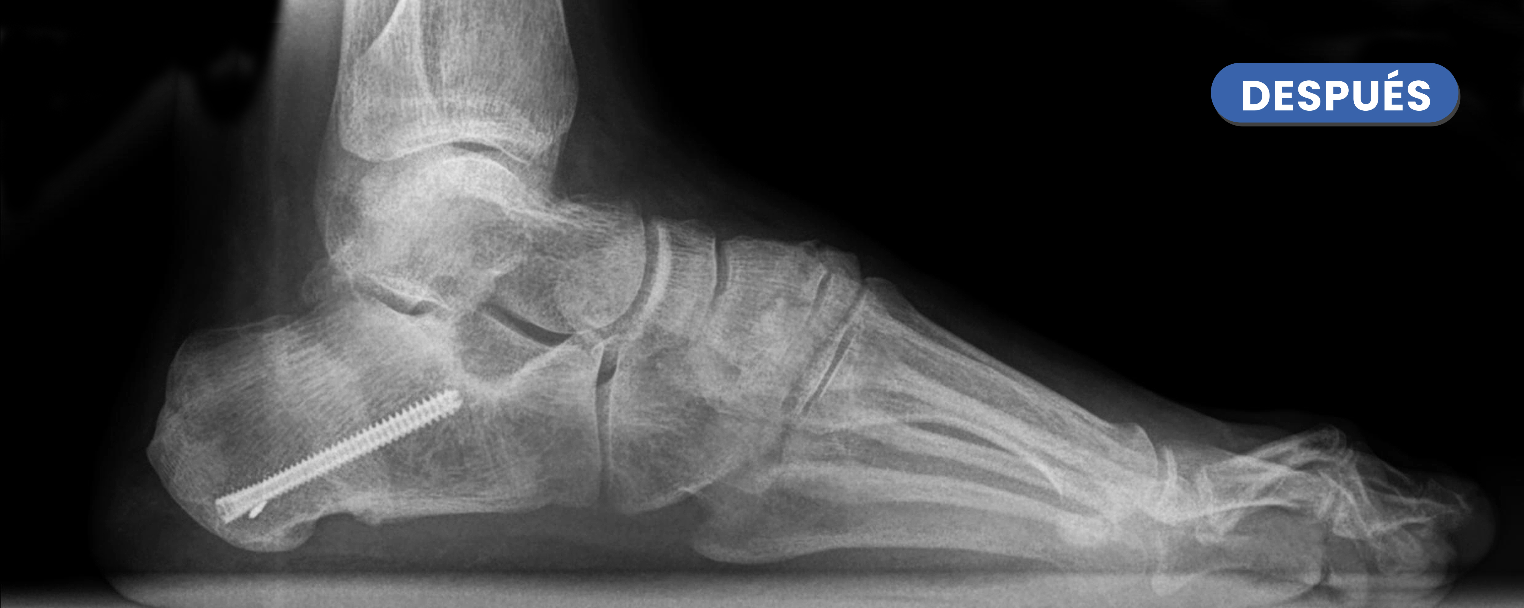
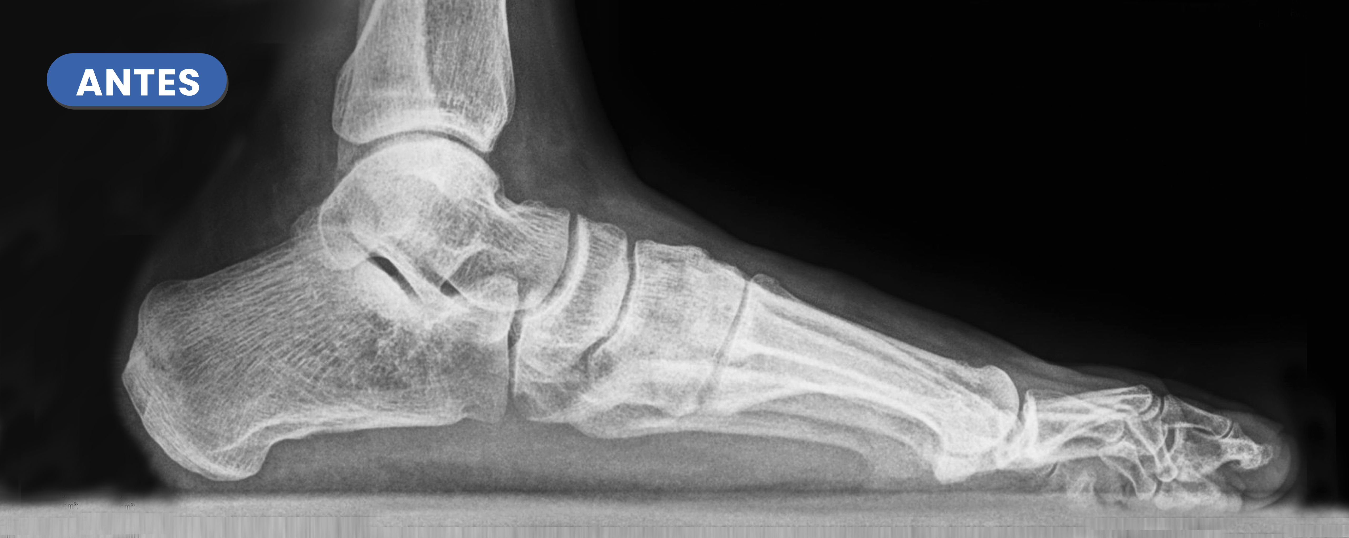
Casos reales resueltos con Cirugía de Mínima Incisión (CMI)

Te mostramos casos reales resueltos mediante cirugía de mínima incisión por el Dr. Rubén Lorca y su equipo.
Mueve las flechas para visualizar el antes y después.

Solicite cita previa - Si lo prefiere llámenos al teléfono 966 477 635

En estas radiografías se puede observa el aumento de tamaño del arco interno (ALI ) tras la realización de la osteotomía varizante fijada mediante un tornillo.